Centre d’Implantologie Dentaire Implantalya – Montigny-le-Bretonneux

Edit Content

Traitement des gencives et du parodonte

Parce que les gingivites et les maladies parodontales évoluent souvent à bas bruit, elles passent souvent inaperçues jusqu’à un point de non retour : le déchaussement et la perte des dents.

La maladie parodontale

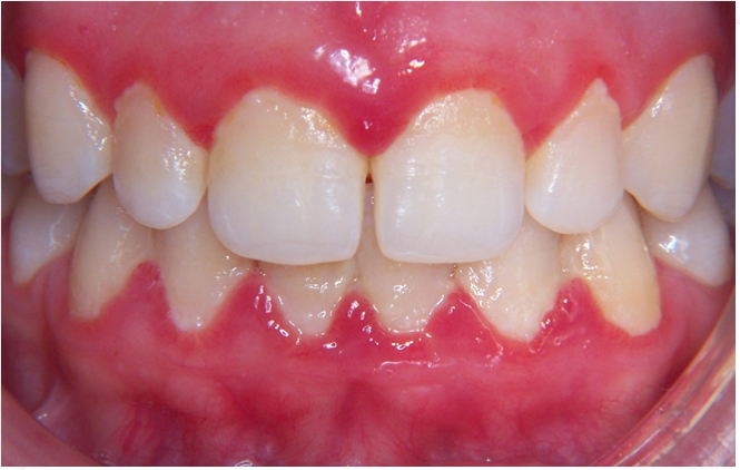
La gingivite est une inflammation réversible de la gencive due à des bactéries. Elle provient de l’accumulation de plaque dentaire qui mal délogée forme le tartre. Si elle n’est pas traitée à temps, elle risque d’évoluer vers la maladie parodontale qui elle est irréversible.

Les signes de la gingivite sont :

Il existe des facteurs aggravants comme : certains médicaments, les variations hormonales (puberté, grossesse, ménopause), certaines pathologies.

Traitement :

La gingivite est réversible, ainsi son traitement repose sur :

La maladie parodontale

La maladie parodontale n’implique plus uniquement la gencive mais l’ensemble des tissus de soutiens des dents et notamment l’os alvéolaire, c’est-à-dire l’os qui maintient les dents.

Lorsque la maladie progresse, une poche parodontale se forme entre la gencive et la dent. La gencive n’est plus adhérente à la surface de la dent et devient un véritable réceptacle d’une grande quantité de bactéries et de tartre, ce qui aggrave l’irritation de la gencive, et empêche la guérison.

À son stade le plus avancé, la parodontite provoque la chute des dents.

Son diagnostic repose sur un examen clinique associé à un examen radiographique étendu, le bilan radiographique long cône.

Quels sont les signes de la parodontite ?

Traitement :

Le succès du traitement dépend surtout de vous. Un traitement mécanique seul ne suffit pas à enrayer la maladie parodontale, c’est la qualité du contrôle de l’hygiène buccale au quotidien qui garantit le succés de la thérapeutique. Une maintenance régulière sera également nécessaire, mais surtout c’est à vous de jouer !

Le traitement repose sur :

Le surfaçage

Le surfaçage se déroule sous anesthésie locale, il permet d’assainir la surface des racines des dents, dans l’objectif de permettre à la gencive de ré adhérer à la surface de la dent.

En fonction du stade de la parodontite, plusieurs séances pourront être nécessaires. Si toutefois la maladie n’est pas stabilisée, d’autres thérapeutiques notamment chirurgicales pourront être envisagées, comme les lambeaux d’assainissement.

Le lambeau d’assainissement

Le surfaçage étant un traitement à « l’aveugle », certaines zones d’accès difficiles nécessitent une vision directe. Le lambeau d’assainissement permet un accès direct à la surface à assainir : la gencive est soulevée rendant accessible les racines des dents.

À noter :

Après un surfaçage, il est possible de constater une légère rétraction de la gencive. Ce phénomène est normal, il est lié à la guérison de la gencive qui devient moins gonflée du fait de la disparition de l’inflammation et de l’infection. Cette rétraction de la gencive peut parfois être associée à une augmentation transitoire de la sensibilité des dents au chaud et au froid qui peut être atténuée par l’utilisation de gels ou de dentifrices spécifiques. Ceci est valable également après traitement chirurgical.